Biomechanische Grundlagenbetrachtungen zur Beckenstatik aus dem Blickwinkel der Dynamischen Wirbelsäulen-Therapie

1          Iliosakralgelenke, Beckenstellung und funktionelle Beinlängendifferenzen

1.1       Anatomie und Biomechanik der Iliosakralgelenke

 

1.2       Begriffsdefinition der Dynamischen Wirbelsäulen-Therapie zur Art bewegungspathologischer Hypo- und Hyperfunktionen der Iliosakralgelenks-Funktionsasymmetrien

1.2.1    Hypomobiles Iliosakralgelenk

1.2.2    Hypermobiles Iliosakralgelenk

1.2.3    Befundkonzept hypo- oder hypermobiles Iliosakralgelenk

 

1.3       Iliosakralgelenks-Funktionsasymmetrien um die Transversalachse

1.3.1    Pathomechanik der Iliosakralgelenks-Funktionsasymmetrie um die Transversalachse

1.3.1.1 Pathomechanik eines Iliosakralgelenks mit Funktionsasymmetrie um die Transversalachse bei fixierter Anteversionsnutation eines Os coxae gegen das Os sacrum

1.3.1.2 Pathomechanik eines Iliosakralgelenks mit Funktionsasymmetrie um die Transversalachse bei fixierter Retroversionsnutation eines Os coxae gegen das Os sacrum

1.3.1.3 Symphysenaktionen bei der Iliosakralgelenksimmobilität mit gegenläufiger Beckentorsion um dessen Transversalachse - Pathomechanik


1.3.2    Funktionsstörungen und Schmerzsymptomatik der Iliosakralgelenke mit Funktionsasymmetrie um die Transversalachse


1.3.2.1 Funktionsstörungen und Schmerzsymptomatik eines hypomobilen Iliosakralgelenks mit Funktionsasymmetrie um die Transversalachse


1.3.2.2 Schmerzsymptomatik eines Iliosakralgelenks mit Funktionsasymmetrie um die Transversalachse - hypermobiles Iliosakralgelenk


1.3.3    Befund der Iliosakralgelenks-Funktionsasymmetrie um die Transversalachse


1.3.3.1 Iliosakralgelenks-Funktionsasymmetrie um die Transversalachse - Endraum eines immobilen Iliosakralgelenks - Befund manuell


1.3.3.2 Iliosakralgelenks-Funktionsasymmetrie um die Transversalachse - Endraum eines immobilen Iliosakralgelenks - Röntgenbefund


1.3.4    Therapie einer Iliosakralgelenks-Funktionsasymmetrie um die Transversalachse

1.4       Iliosakralgelenks-Funktionsasymmetrien um deren Sagittalachsen


1.4.1    Pathomechanik der Iliosakralgelenks-Funktionsasymmetrie um die Sagittalachsen - Parallele Medio-Lateralverschiebung


1.4.2    Funktionsasymmetrie um die Sagittalachsen der Iliosakralgelenke - Parallele Medio-Lateralverschiebung - Veränderung der Hüftgelenkspfannen in der Frontalebene zum Kreuzbein


1.4.3    Schmerzsymptomatik bei der Funktionsasymmetrie der Iliosakralgelenke um deren Sagittalachsen


1.4.4    Befund einer Funktionsasymmetrie der Iliosakralgelenke um deren Sagittalachsen


1.4.4.1 Funktionsasymmetrie um die Sagittalachsen der Iliosakralgelenke - Parallele Medio-Lateralverschiebung - Tastbefund


1.4.4.2 Funktionsasymmetrie um die Sagittalachsen der Iliosakralgelenke - Parallele Medio-Lateralverschiebung - Röntgenbefund


1.4.5    Therapie einer Funktionsasymmetrie um die Sagittalachsen der Iliosakralgelenke - parallele Medio-Lateralverschiebung

 

1 Iliosakralgelenke, Beckenstellung und funktionelle Beinlängendifferenzen

Zusammenfassung:

Das Becken ist in sich durch die Bewegung der drei großen Beckenknochen in den Iliosakralgelenken zueinander beweglich. Dadurch können sich für die Statik und Funktion der Wirbelsäule, und damit des gesamten Bewegungssystems, die Basis bzw. proximalen Anlenkpunkte (Kreuzbein und Hüftgelenke) gegeneinander verlagern. Deshalb stellt die Befundung und, wenn dies möglich ist, die Funktionsnormalisierung der Beckenfunktionsstatik die Behandlungsbasis auch bei der Dynamischen Wirbelsäulen-Therapie dar.

Bewegungen in den Iliosakralgelenken sind, vereinfacht gesehen, in den drei Körperhauptachsen möglich, wobei jene um die transversale Achse am meisten, die um die beiden Sagittalachsen dieser beiden Gelenke weniger an verschiedenen pathomechanischen Geschehen beteiligt sind, die beim Patienten klar definierbare Funktionsstörungen, aber auch Beschwerden mit den Bildern anderer möglicher Ursachen auslösen können. Der Iliosakralgelenksbewegung um die Longitudinalachse kommt bei der Dynamischen Wirbelsäulen-Therapie wenig Bedeutung aus therapeutischer Sicht zu.

Iliosakralgelenke können neben deren auf beiden Beckenseiten gleicher Mobilität auch seitendifferent zueinander auf einer Seite bewegungseingeschränkt, also hypomobil, und kontralateral in Relation dazu hypermobil sein, wobei das ligamentär überbewegliche Iliosakralgelenk durch Überbelastungsreaktionen zu diversen lokalen Beschwerden sowie solchen mit Fernwirkung führen kann.

Bei einer einseitigen Immobilität eines Iliosakralgelenks befindet sich dieses meist ligamentär fixiert in Richtung eines seiner beiden um die Transversalache möglichen Endbewegungsräume. Ebenso kann es vorkommen, dass beide Iliosakralgelenke um deren transversale Beckenachse gegeneinander rotiert und bewegungsgehemmt sind. Beides führt zu einer Veränderung der Beckenstellung in sich wie auch im Raum und kann, durch die daraus resultierende laterale Beckenkippung um die Sagittalachse und etwas um die Longitudinale, das Bild eines Beckenschiefstandes in dessen Bezug zur Transversalebene mit dem scheinbaren Bild einer Beinlängendifferenz ergeben bzw. bei vorliegender tatsächlich anatomischer Beinlängendifferenz, wenn diese dadurch mehr oder weniger kompensiert wird, statt eines Schiefstandes ein "gerades" Becken vortäuschen.

Schlüsselworte:

Anteversionsnutation/Retroversionsnutation eines Os coxae gegen das Os sacrum, Bewegungsneukonditionierung, funktionelle Beinlängendifferenz, pseudoradikuläre und radikuläre Irritation, neuromuskuläre nozizeptive Bewegungsblockierung, Beckenschiefstand, Beckenlateralverschiebung, Beinlängendifferenz, Dysfunktionsinterferenzen, Gelenksnutration, Hypomobilität und Hypermobilität ligamentär und muskulär, Iliosakralgelenke, hypermobiles/hypomobiles Iliosakralgelenk, Iliosakralgelenks-Funktionsasymmetrie um die Transversalachse/die Sagittalachsen, Mobilitätsbalance, Muskeldehntechniken, Nozizeptoren, peripheres Nervenkompressionssyndrom, piezoelektrischer Effekt, Parallele Medio-Lateralverschiebung - Parallelogrammverschiebung der Beckenknochen, Piriformisdehnung, Propriozeption, Seitendifferenzen, Symphysenhochstand, Torsionsfixierung der Iliosakralgelenke.

Nicht in der medizinischen Nomenklatur speziell erfasste und bei der Lehre der Dynamischen Wirbelsäulen-Therapie somit eigenbenannte anatomische Gegebenheiten sind als solche mit dem Zusatz (n. dwth) gekennzeichnet.

[zurück zum Inhaltsverzeichnis]

1.1 Anatomie und Biomechanik der Iliosakralgelenke

Dass Iliosakralgelenke nicht nur während des Entbindungsaktes der Frau, sondern auch bei allen Bewegungen, welche über das Becken laufen, eine wichtige Funktion erfüllen, wurde im deutschen Sprachraum erst (wieder) durch Arbeiten aus dem angloamerikanischen-angelsächsischen sowie nordeuropäischen Raum propagiert, diskutiert, erfahren und gelehrt. Es gibt jedoch immer noch Publikationen, in denen jegliche Mobilität der ISG bzw. deren Auswirkungen verneint werden, obwohl teilweise von solchen Autoren - nach ihrer Ansicht nur ,hypothetisch" mögliche - biomechanische Gegebenheiten erwähnt werden.

Im Beckenbereich werden auch bei der Dynamischen Wirbelsäulen-Therapie Asymmetrien, die einmal um die transversale Hauptachse (Torsion der Hüftbeine gegen das Kreuzbein) wie auch in den beiden Sagittalachsen der Iliosakralgelenke (Parallelverschiebung in der Frontalebene der Ossa coxae gegen das Os sacrum) verlaufen, bezüglich des Befundes und der Therapie beachtet. Ausgelöst werden solche Fehlstellungen wohl durch eine direkte und indirekte Iliosakralgelenks-Funktionsbeeinflussung über die Oberschenkel-, Becken- und untere Rückenmuskulatur. Die biomechanischen Beobachtungen dazu decken sich bei der Dynamischen Wirbelsäulen-Therapie teilweise mit jenen von ILLI, CRAMER, LEWIT, WINKEL et al. und KAPANDJI (obwohl gerade letzterer eine ISG-Bewegung unverständlicherweise auszuschließen scheint).

Das Iliosakralgelenk hat, je nach Alter und lumbosakralem Lordosewinkel, eine mehr oder weniger in seinem cranialen Anteil nach ventral geneigt ausgeprägte Gelenkfläche, die Facies auricularis (sacri), mit einer mehr waagrechten Ausrichtung bei Lumbalhyperlordose bzw. aufgerichteter Stellung bei einem steilen und lordotisch gering ausgeprägten Lumbosakralübergang.

In ihrem mittleren Anteil weist die Facies auricularis zwei flache Gelenkmulden auf mit einer, diese verbindenden etwa viertelringgroßen ebenfalls flachen Kavität, die Cavum facies auricularis ossis sacri (n. dwth), deren Rotationszentrum in Höhe der Tuberositas iliaca liegt. Adäquat dazu ist die Facies auricularis ilii ausgebildet, wobei deren entsprechende Erhabenheit, das Tuberculum facies auricularis ossis ilii (n. dwth) facettenhaft in die Vertiefungen der sakralen Iliosakralgelenksfläche eingreifen. Der am Os ilium ebenfalls in etwa viertelringgroße erhabene Gegenpart zur cavösen Gelenkfläche der Facies auricularis am Os sacrum hat seine Mittenachse in etwa auf der Höhe der Tuberositas sacralis mit teilweise, nach deren Entdecker Fred. W. ILLI benannten, kreuzbandartigen ligamentären Verbindungen, den Ligamenta Illi [1952]. Diese befinden sich inferior des jeweiligen Lig. iliolumbale, ca. 15 mm superior des betreffenden Iliosakralgelenks, am Os ilium und inserieren, nach deren Iliosakralgelenks-Kapseldurchtritt, ca. 5 mm posterior-inferior der antero-cranialen sakralen Gelenkfläche des betreffenden Iliosakralgelenks intraarticulär am Os sacrum.

Diese Bänderanordnung stellt eine zusätzliche Stabilisierung dar zu der Funktion der das Iliosakralgelenk kinetisch in der bzw. um die transversale Achse haltenden und führenden posterioren stark ausgeprägten Ligg. sacroiliaca interossea, sie unterstützen aber auch die anterioren Bänder am ISG, die weniger kräftigen Ligg. sacroiliaca ventralia, zwischen dem cranialen ersten und inferior-mittleren zweiten Drittel dieses Gelenks.
 

Abbildung 1
Grobschematische Lage des Iliosakralgelenks mit einprojezierter Gelenkfläche und Lage der sich am häufigsten bestätigenden Annahme der transversalen Torsionsachse aus lateraler Sicht mit Winkelangaben der möglichen Endraumstellung des Os coxae zum Os sacrum im Iliosakralgelenk.

Etwas posterior dieses beschriebenen Iliosakralgelenksbereichs, transversoanterior-transversal durch die Mitte der Ligg. sacroiliaca interossea verlaufend, verläuft offensichtlich die Hauptbewegung der Ossa coxae zum Os sacrum, zentriert durch die Ligg. Illi.

Der Verlauf dieser sowohl superior wie auch inferior nach posterior und anterior etwas exzentrisch mobilen Iliosakralgelenksachse geht in diesem Gelenk von leicht schräg lateral-posterior nach medial-anterior in einem Winkel von ca. 15° bis hin zu 22° im medialen und superioren Iliosakralgelenksbereich zur Medianebene hin ­ wohl häufig auch als Mischachse, gebildet durch die von MENELL beschriebene Iliosakralgelenks-Achsenfixierung um offensichtlich je ein Tuberculum facies auricularis ossis ilii (n. dwth) und der dagegenstehenden Cavum facies auricularis ossis sacri.
 

 
   
  

Abbildung 2
Beckenring von superior betrachtet mit Lage der transversoanterior-transversal verlaufenden Iliosakralgelenksachse.

 


 


   
 

Abbildung 3
Beckenring von posterior betrachtet mit Lage der transversoanterior-transversal verlaufenden Iliosakralgelenksachse im bezug zur Transversalebene.

 

 

 

Die Behauptung, das Iliosakralgelenk würde durch keine Muskeln bewegt bzw. durch deren Aktionen nicht in seiner Funktion beeinflusst, ist nach der Lehrmeinung der Dynamischen Wirbelsäulen-Therapie falsch. Bei allen Aktionen der Muskeln, die über das Becken laufen bzw. an diesem inserieren, bewegen sich die Iliosakralgelenke zwangsläufig mit, so z. B. wenn seitendifferent ein in bezug zu deren Zugrichtung antagonistischer Kraftzug auf einer Seite am Os ilium und auf der Gegenseite am Os sacrum ansetzt, wie dies beispielsweise bei Aktionen konträrer Muskelanspannung bei balancierenden Ausweichbewegungen zu Steh- und Bewegungsmassekräften im Beckenbereich der Fall ist. Außerdem schwingt puffernd das betreffende Os coxae im Iliosakralgelenk mit bei Beinbelastungsbewegungen im Stand und bei Gehaktionen.
Das Iliosakralgelenk als amphiarthrotisches Gelenk mit undefinierter bzw. fehlender Bewegung zu bezeichnen ist m. E. unrichtig, da sehr wohl definierte und messbar-nachweisbare Bewegungen darin, entsprechend dazu die Beckenstatik funktionell beeinflussend, ablaufen können!
Die im folgenden beschrieben hauptsächlichen Beckenfehlstellungen können sich bei Patienten zeigen und sind befund- sowie therapierelevant.
{Auf weitere als hier gemachte anatomische Beschreibungen der Iliosakralgelenke wird in dieser Abhandlung nicht mehr eingegangen, da deren Kenntnis im angesprochenen Leserkreis der Physiotherapeuten vorausgesetzt wird.}

[zurück zum Inhaltsverzeichnis]

1.2 Begriffsdefinition der Dynamischen Wirbelsäulen-Therapie zur Art bewegungspathologischer Hypo- und Hyperfunktionen der Iliosakralgelenks-Funktionsasymmetrien

1.2.1 Hypomobiles Iliosakralgelenk

Als hypomobiles Iliosakralgelenk wird im Sprachgebrauch der Dynamischen Wirbelsäulen-Therapie jenes bezeichnet, das ligamentär, also in bezug zu dessen Bänderkonsistenz bzw. -spannung, bewegungseingeschränkt ist. Dieses ISG löst keine mechanisch bedingte Nozizeptorenüberreaktion aus, es sind somit keine Schmerzsensationen von diesem Gelenk wegen dessen Zustand zu erwarten. Auch kommt es im Verhältnis zu einem normal beweglichen oder hypermobilen ISG mit Sicherheit zu einem anderen propriozeptiven Input, dessen Information reduziert oder fehlerhaft sein kann.

Hypomobiles Iliosakralgelenk = ligamentär hypomobiles ISG mit fehlenden Reizkomponenten.

[zurück zum Inhaltsverzeichnis]

1.2.2 Hypermobiles Iliosakralgelenk

Als hypermobiles Iliosakralgelenk wird mit der Terminologie der Dynamischen Wirbelsäulen-Therapie jenes bezeichnet, das ligamentär, also von dessen Bänderspannung und -struktur her, instabil und überbeweglich ist. Dieses Gelenk umgebende Bewegungseinheiten sind sehr häufig neuromuskulär-bewegungsdynamisch fehlversorgt im Sinne einer muskulär-reflektorischen nozizeptogenen Hyperfunktion, woraus die davon ausgehenden meist starken Fehlsteuerungsmechanismen und Schmerzsensationen herrühren.

Hypermobiles Iliosakralgelenk = ligamentär hypermobiles ISG mit reaktiv neuromuskulärer nozizeptiver Bewegungshemmung bzw. "Blockierung" der umgebenden beckenhaltgebenden und -bewegenden Muskulatur.

[zurück zum Inhaltsverzeichnis]

1.2.3 Befundkonzept hypo- oder hypermobiles Iliosakralgelenk

Da zwischen dem Os sacrum und dem Os ilium bei einem ligamentär immobilen Iliosakralgelenk, welches mehr oder weniger bewegungseingeschränkt sein kann, in der Relation weniger Bewegung abläuft als in dem die fehlende Beckengesamtbewegung kompensierenden der Gegenseite, kommt es zu einer langsamen Veränderung am Band-, Bindegewebs- und Muskelapparat in dem Bereich des immobilen Iliosakralgelenks, wie auch teilweise in der ganzen homolateralen Beckenhemisphäre.
Bei der Dynamischen Wirbelsäulen-Therapie wird zur Feststellung einer Iliosakralgelenks-Immobilität kein sogenannter Bewegungstest durchgeführt, bei dem das hypermobile Iliosakralgelenk meist noch mehr belastet wird (dabei könnte es zu einer Reizung des ohnehin schon überlasteten hypermobilen Iliosakralgelenkes kommen und es mag dahingestellt bleiben, ob sich bei den verschiedenen Bewegungstests überhaupt eine Bewegung in den Iliosakralgelenken ertasten lässt, oder ob nicht vielmehr das dieses umgebende Gewebe häufig eine solche vortäuscht [man beachte die massiven dorsalen sakroiliakalen Bandstrukturen]).
Auch sind sogenannte ,Vorlauf-Bewegungstests" nach Ansicht der Lehre der Dynamischen Wirbelsäulen-Therapie nicht immer genau, da hierbei die unterschiedlichen Funktionszustände ganzer Muskelgruppen unterschiedliche Beckenausweichbewegungen und damit u. U. auch Fehlbefunde bedingen können.
Die Auswirkung der beschriebenen Differenz ligamentärer Spannung wird bei der Dynamische Wirbelsäulen-Therapie insofern zur Befunderhebung herangezogen, als bei ihr, wie erwähnt, keine Mobilitätstests der Iliosakralgelenke durchgeführt werden, sondern die relative funktionell-ligamentäre Kontraktur im Verhältnis zur kontralateralen Beckenseite der dazu lockereren Strukturen der Ligg. sacrococcygea, dem Lig. sacrospinale und Lig. sacrotuberale und des M. coccygeus durch einen speziellen Tastbefund vergleichend beurteilt wird.
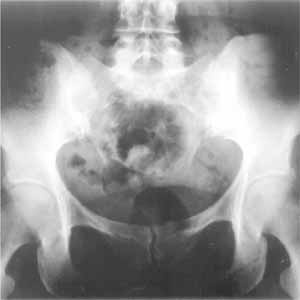
Der Befund an einer vorliegenden a.-p.-Röntgenaufnahme des Beckens zeigt fast immer, dass das hypermobile Iliosakralgelenk sich als jenes darstellt, das häufig schon arthrotische Veränderungen, meist aber eine höhere Dichte im ligamentären Bereich als Folge der mechanischen Überbelastung und somit intermediären Hyperreaktion, aufweist.
Ein ligamentär immobiles Iliosakralgelenk stellt sich dagegen als wenig auffällig mit vergleichsweise gut konturierten Gelenksrandflächen dar und einem verhältnismäßig weniger dichten Umgebungsgewebe.
 

Abbildung 4
Unterschiedliche Iliosakralgelenksstrukturen wie auch eine unterschiedliche Gewebsdichte in dem an dieses unmittelbar anschließende Knochen- und elastische Bindegewebe bei der diesbezüglichen Beurteilung einer a.-p.-Röntgenaufnahme des Beckens weisen auf Bewegungsasymmetrien beider Iliosakralgelenke im bezug zueinander hin. Das breite und gut konturiert konfigurierte Iliosakralgelenk mit weniger dichtem Umgebungsgewebe ist meist das ligamentär hypomobile [rechte Beckenhälfte/linke Bildhälfte], das mit den teilweise inkongruenteren Gelenkstrukturen und hellerem = dichterem umgebendem Gewebe ist als das ligamentär hypermobile anzusehen, welches durch nozizeptiven mehr oder weniger starken Dauerreiz das muskulär-funktionell „blockierte” ist (die gesamte Lage des Os coccygis stellt sich auf dieser Aufnahme, wie häufig, nicht entsprechend dar und ist somit nicht zur Beurteilung der Bänderspannung auswertbar [linke Beckenhälfte/linke Bildhälfte]).

 

 

Die Darstellung der Gesamtlage des Os coccygis auf einer solchen Aufnahme ist meist ungenügend und für oben angesprochene Aussagen zur Auswirkung der Bänderspannung auf das Steißbein wenig geeignet, da dessen distale Gewebsdichte an der Apex coccygii häufig gering ist und sich somit nur unklar, je nach Belichtung und Filterung bei der Aufnahme, darstellt (lediglich im Versuch haben sich uns hierzu spezielle Aufnahmetechniken bewährt, die in der Praxis jedoch für die Befunderhebung nicht nötig sind).
In der Ultraschalldarstellung zeigt sich ein auffälliges hypermobiles Iliosakralgelenk sehr häufig, im Gegensatz zum gegenüberliegenden ISG mit immobiler Funktion, mit einer vermehrten ödematösen Strukturierung des Bindegewebes, das diese Gelenkregion umgibt, und zwar posterior des Sakralbereiches und medial dazu, bedingt durch die bei starker ligamentärer Hypermobilität auftretende mechanische Überlastung mit typischen Gewebereizfolgen einschließlich eventuellen Kapillarrupturen und damit einhergehender mehr oder minder starker Ödem- und auch Hämatomisierung dieses Bereiches.
Auch, nur zur Verifizierung im Versuch sinnvolle, Punktionen zeigten häufig blutige Infiltrate im Sinne tiefsitzender Hämatome.

[zurück zum Inhaltsverzeichnis]

1.3 Iliosakralgelenks-Funktionsasymmetrien um die Transversalachse

1.3.1 Pathomechanik der Iliosakralgelenks-Funktionsasymmetrie um die Transversalachse

Häufig ergibt sich beim Patienten das Bild einer einseitigen Iliosakralgelenks-Hypomobilität in einem dessen möglicher Endbewegungsräume um die Transversalachse bei einer kontralateral analog dann meist dazu in Relation vorliegenden Iliosakralgelenks-Hypermobilität, durch welche der Körper für den Gesamtbewegungsfluss die auf der bewegungseingeschränkten Seite fehlende Bewegung kompensiert.
Dabei findet sich, egal in welchem Endbewegungsraum sich ein immobiles Iliosakralgelenk befindet, immer ein auf dieser Seite kontrakterer Bandapparat in der gesamten betreffenden sakro-pelvikalen Hemisphäre im Vergleichen zur kontralateralen Beckenseite, auf der das kompensierende hypermobile Iliosakralgelenk ist. Dies trifft dabei besonders auf die Ligg. sacroiliaca interossea und dorsalia, die Ligg. sacroiliaca breve, longum et ventralia einschließlich dessen inferioren Anteilen in Form des Lig. sacrococcygeum laterale, das Lig. sacrospinale, das Lig. sacrotuberale und das Lig. sacrococcygeum ventrale zu.
Solche intrapelvikalen Bewegungen um die Transversalachse (transverso-sagittale Mischachse) in den Iliosakralgelenken werden, wie erwähnt, teilweise immer noch negiert oder klar verneint, obwohl diese in einem relativ großen Rotationswinkel erfolgen können und dadurch auch verhältnismäßig große Hebelausschläge der distalen bzw. peripheren Beckenanteile möglich sind. Eine Bereicherung für die Lehre der Dynamischen Wirbelsäulen-Therapie war meine Begegnung mit Herrn Professor Dr. HANS PIPER von der Universität Ulm. Bei einem Gespräch kam ich darauf, dass Herr Prof. PIPER eine ebenso große ISG-Beweglichkeit als möglich betrachtet wie wir bei der Dynamischen Wirbelsäulen-Therapie, wobei Prof. PIPER die physiologisch möglichen Endgelenksstellungen des ISG in Winkelgraden gemessen hat und dabei auf einen Bewegungsausschlag von einem Endraum zum anderen von insgesamt rund 40° kam, was sich bei der Überprüfung per Tastbefund an Patienten und an speziell angefertigten Röntgenbildern in der Praxis als gut möglich einschätzen lässt.
Es gibt die Möglichkeit einer ISG-Immobilität mit nutationsfixierter Stellung des Os coxae gegen das Os sacrum (,Rückschreitstellung"), d. h. das Os coxae dieser Seite ist insgesamt nach anterior rotiert, wodurch der Sitzbeinhöcker sich, als inferior der transversalen ISG-Achse befindlich, posterior seiner Normal-Mittelstellung befindet (als Rückschreitstellung deshalb benannt, weil das inferior zum Sitzbeinhöcker liegende Bein bei dessen Rückschwingphase sich beim Gehen ja ebenfalls posterior seiner Null- bzw. Standlage befindet).
Ebenso ist eine ISG-Immobilität in gegennutierter bzw. Retroversionsnutationsstellung ("Vorschreitstellung") möglich. Das gesamte Os coxae dieser Seite ist dabei nach posterior um die Transversalachse gegen das Kreuzbein rotiert und im dortigen Endbewegungsraum immobil ligamentär fixiert. Der Tuber ischiadicum dieser Seite befindet sich somit anterior seiner Normal-Nullstellung (Vorschreitstellung deshalb genannt, weil das darunter befindliche Bein bei der Vorschreitbewegung auch anterior seiner Stand-Mittelstellung ist).

[zurück zum Inhaltsverzeichnis]

1.3.1.1 Pathomechanik eines Iliosakralgelenks mit Funktionsasymmetrie um die Transversalachse bei fixierter Anteversionsnutation eines Os coxae gegen das Os sacrum

Bei der ISG-Immobilität mit nutationsfixierter Stellung des Os coxae gegen das Os sacrum ist das Os coxae der betreffenden Seite in seinem Gelenks-Endbewegungsraum in dessen kranialem Anteil um die beschriebene Transversalachse im Verhältnis zu dessen Neutral-Null-Stellung in diesem Gelenk zum Os sacrum nach anterior ligamentär fixiert und, zumindest im unbelasteten Zustand, auch in Beziehung zu dem Os coxae der Gegenseite. Eine solche ISG-Bewegung und seine Endraumstellung kann nach Beobachtungen von Prof. PIPER ca. 18° betragen.
Diese funktionsstatisch mehr oder weniger ligamentär fixierte Stellung entspricht jener, die im mobilen Zustand dieses Iliosakralgelenks das Os ilium gegen das Os sacrum in der Bein-Entlastungsphase, mehr noch bei einer Hüftflexionsbewegung als weiterlaufende Bewegung, einnimmt.
Die Veränderung der Hüftgelenksachse zum Promontorium in der Frontalebene kann bei dieser Art der Fehlstellung - wie auch analog dazu gegensinnig bei der konträren Art dieser Fehlstellung - eine der Ursachen für eine nichtanatomische, sondern funktionelle scheinbare Längendifferenz der Beine sein. Es wird dabei die Strecke in der Frontal- und Sagittalebene von der Basis ossis sacri zum Hüftgelenk - damit auch zur Standfläche des Fußes - größer und somit also im Vergleich zur Normalbeckenstellung auf jener Seite länger, auf der eine Iliosakralgelenks-Immobilität in fixierter Anteversionsnutation sich befindet im Vergleich zur Neutral-Null-Stellung der Iliosakralgelenke. Rotiert also ein Os coxae im Iliosakralgelenk um die Transversalachse gegen das Os sacrum nach ventral, so wird das homolaterale Hüftgelenk dabei etwas nach dorsal-distal (inferior) im Verhältnis zu seiner Normalstellung in dessen Lage zur Wirbelsäule verschoben. Dadurch also kann das Bein dieser Seite, verglichen zur Normalstellungssituation im Iliosakralgelenk und im Raum sowie zu jenem der Gegenseite, im Frontalebenenverhältnis zum Promontorium in seiner Funktion ,länger" wirken durch die funktionelle Distanzzunahme der Strecke Hüftgelenk-Kreuzbeinbasis in der frontalen und sagittalen Ebene.
 

Abbildung 5
Schema eines in Anteversions- [18°] und eines dagegengestellten in Retroversionsnutation [22°] ligamentär fixierten Iliosakralgelenks im Gegensatz zu deren physiologischer Neutral-Null-Stellung. Die Hüftgelenksflexionsmittenachse des superior nach anterior ligamentär im Iliosakralgelenk fixierten Os coxae befindet sich etwas nach inferior-distal in Beziehung zu dessen Normalstellung und zum gegenüberliegenden verlagert = Ursache für eine funktionelle Verlängerung der proximalen Beinauflage der Strecke vom Hüftgelenk zum Kreuzbein und somit zum gesamten Becken (funktionelle „Beinverlängerung”).
Dagegen steht die Hüftgelenkspfanne des Os coxae, das in der Retroversionsnutation gegen das Os sacrum fixiert ist anterior und in der Frontal- wie auch Sagittalebene mehr superior in Beziehung zur Kreuzbeinbasis = Ursache für eine funktionelle Verkürzung der proximalen Beinauflage der Strecke vom Hüftgelenk zum Kreuzbein und somit zum gesamten Becken (funktionelle „Beinverkürzung”).

 

 

[zurück zum Inhaltsverzeichnis]

1.3.1.2 Pathomechanik eines Iliosakralgelenks mit Funktionsasymmetrie um die Transversalachse bei fixierter Retroversionsnutation eines Os coxae gegen das Os sacrum

Bei der ISG-Immobilität in gegennutierter bzw. Retroversionsnutationsstellung um die Transversalachse zeigt sich das Os coxae der betreffenden Seite im Iliosakralgelenks-Endbewegungsraum in seinem cranialen Anteil nach posterior ligamentär fixiert. Diese funktionsstatisch mehr oder weniger nicht muskulär, sondern ligamentär fixierte Endstellung entspricht jener, die im mobilen Zustand des Iliosakralgelenks etwas das Os ilium gegen das Os sacrum in einer, von distal linear in der longitudinalen Beinachse verlaufenden, Beinbelastung bei der Stand- und Gehaktion auf das aufliegende Becken einnimmt. Diese Art der ISG-Endraumstellung beträgt nach Beobachtungen von Prof. PIPER bis zu 22°. Sie kann ebenfalls die Ursache für eine nichtanatomische, sondern eine funktionelle ,Beinlängendifferenz" sein, da der Abstand der Transversalebenen der Beckenbasis und der Hüftgelenke im Becken in den Frontal- und Sagittalebenen geringer wird - und somit also im Vergleich zur Normalbeckenstellung auf jener Seite kürzer -, auf der eine ligamentäre Iliosakralgelenks-Immobilität in fixierter Retroversionsnutation sich befindet im Vergleich zur Neutral-Null-Stellung dieses Iliosakralgelenks bzw. zur kontralateralen Lagesituation. Rotiert also ein Os coxae um die Transversalachse im Iliosakralgelenk gegen das Os sacrum in seinem superioren Anteil in bezug zu seiner Normalstellung nach dorsal, so wird das homolaterale Hüftgelenk dabei etwas nach anterior-cranial zu seiner physiologischen Neutral-Null-Stellung in seiner Lage zur Wirbelsäule verschoben, wodurch das Bein dieser Seite, verglichen zur Normalstellungssituation im Iliosakralgelenk und in Beziehung zu jenem der Gegenseite, im Funktionsverhältnis durch die Streckenverkürzung Hüftgelenk-Kreuzbeinbasis in der Frontalen zum superioren Becken und damit zur Wirbelsäule ,kürzer" wird.

[zurück zum Inhaltsverzeichnis]

1.3.1.3 Symphysenaktionen bei der Iliosakralgelenksimmobilität mit gegenläufiger Beckentorsion um dessen Transversalachse - Pathomechanik

Da eine solche in sich gegenläufige Verwringung der drei großen Beckenknochen gegeneinander, über die Transversalachse der Iliosakralgelenke laufend, natürlich nicht nur mechanisch auf die bereits beschriebene Stellung der Hüftbeine eine Auswirkung hat, die dann ,irgendwo" im Becken endet, hat die Frage interessiert, was in der Symphyse bei diesen Beckenfehlstellungen passiert. Das war Anlass für die versuchsweise Anfertigung von Röntgen-Symphysenaufnahmen mit direktem a.-p.-Längsstrahlengang durch die Symphyse. Dabei saßen die Probanden bei waagrecht liegenden Oberschenkeln und dazu ca. 135° gebeugtem Hüftgelenk und Oberkörper auf dem Röntgentisch, der Röntgenstrahlengang verläuft bei dieser Aufnahmetechnik also weitestgehend parallel zur Symphysenlänge, also längs durch diese hindurch.
 

Abbildung 6
Lage des Probanden bei einer Röntgenaufnahme zum Nachweis der Anterior- und Posteriorverschiebung dessen Symphyse/Os Pubis bei einseitigen Beckenfehlstellungen in Antversions- bzw. Retroversionsendraumfixierung eines Iliosakralgelenks (die Symphyse steht dabei „gerade” bzw. parallel im Strahlengang).

Dabei zeigt sich bei der Anteversionsnutation als Endraumstellung eines immobilen Iliosakralgelenks die Position des Os pubis der betreffenden Seite etwas posterior, während bei der Retroversionsnutationsstellung dieses sich leicht anterior befindet zu dem jeweils gegenüberliegenden.
Es ist also bei dieser Fehlstellung der Torsionsfixierung in den Iliosakralgelenken um die Transversalachse das Os coxae in dessen superiorem Anteil bei der Anteversionsnutationsfixierung nicht nur nach anterior und mit seinem inferiorem Teil nach posterior zum Os sacrum räumlich verlagert, sondern es kommt zudem zusätzlich auch zu einer zwangsläufigen Verschiebung vom Os ischii und Os pubis der jeweiligen Seite nach posterior zu denen der Gegenseite. Entsprechend ist bei der konträren Endraumstellung zur soeben Beschriebenen, also der Immobilität eines Iliosakralgelenks in Retroversion, auch die Stellung des Os pubis zu dem gegenüberliegenden nach anterior verlagert.
{Eine solche Untersuchung bringt für keine Therapie, auch nicht für die Dynamische Wirbelsäulen-Therapie, therapierelevante Erkenntnisse, sondern war nur auf dem Frageweg der Verifikation der gesamten Beckenreaktion bzw. -aktion bei einem solchen komplexen mechanischen Geschehen, wie sie die Beckenfunktionsasymmetrie um die Transversalachse der Iliosakralgelenke darstellt, von Interesse!}
 

Abbildung 7
Skizze nach einem Röntgenbild:
Das Os pubis ist im Iliosakralgelenksendraum bei der Anteversionsnutationsfixierung leicht nach dorsal, bei der gegengestellten Immobilität eines Iliosakralgelenks in Retroversion etwas nach ventral zum gegenüberliegenden verlagert.
 
 
 
 
 
[zurück zum Inhaltsverzeichnis]

1.3.2 Funktionsstörungen und Schmerzsymptomatik der Iliosakralgelenke mit Funktionsasymmetrie um die Transversalachse

1.3.2.1 Funktionsstörungen und Schmerzsymptomatik eines hypomobilen Iliosakralgelenks mit Funktionsasymmetrie um die Transversalachse

Ein hypomobiles Iliosakralgelenk verursacht direkt keine Schmerzen, ist jedoch als Ursache verschiedener Kompensationsmechanismen, die hierbei nahezu immer zu sekundären Funktionsstörungen und häufig auch zu solchen Schmerzbildern führen können, anzusehen.
Beim entsprechenden Funktionsbefund am Patienten lässt sich erkennen, dass meist das Bild einer (neuro-)muskulären Dysbalance (zumindest im Bein-Becken-Bauchmuskelbereich) mit entsprechenden Seitendifferenzen besteht, die sich nach der Art der Endstellung des Os coxae gegen das Os sacrum bei einer Iliosakralgelenksimmobilität ergibt.
So zeigt es sich beim Patienten mit einer ISG-Immobilität im Bewegungsendraum der Nutation des Os coxae gegen das Sacrum (ISG-Immobilität in ,Rückschreitstellung"), dass die Hüftflexoren einen höheren Grundtonus aufweisen und, wenn auch oft nur in geringem Maße, mit höheren Kraftwerten bzw. einer besseren Kraftleistungsfähigkeit reagieren. Synergistisch zur Fehlstellung sind dazu seitens der Bauchmuskulatur besonders die Anteile der Mm. obliquus internus et externus anterior der Axillarlinie mit den dort nach inferior verlaufenden Zügen etwas mehr auf Länge, posterior dazu etwas mehr auf Verkürzung geschaltet bzw. eingestellt.
Hingegen zeigt sich bei Patienten mit einer ISG-Immobilität im Bewegungsendraum der Retroversionsnutation des Os coxae gegen das Sacrum (ISG-Immobilität in ,Vorschreitstellung"), dass die Hüftextensoren einen höheren Grundtonus aufweisen wie auch meist eine höhere Kraft bzw. Kraftleistungsfähigkeit. Das Längen- bzw. Tonusverhältnis der schrägen Bauchmuskeln entspricht meist, wenn auch oft nur angedeutet, dieser Stellung des Os coxae und neigt etwas mehr zur Kontraktur in ihren posterior-inferioren Anteilen und zur besseren Dehnbarkeit in ihren anterior-inferioren Zügen. Welche Ausmaße, beim Patienten dann meist noch in der mannigfachen Überlappung mit anderen fortgeleiteten Fehlhaltungs- und Fehlfunktionsfolgen im Sinne von ,Dysfunktionsinterferenzen", solche asymmetrischen Dynamien und Adynamien haben können, braucht an dieser Stelle Physiotherapeuten nicht näher erklärt zu werden.
Sekundäre Funktionsstörungen in der Folge eines immobilen Iliosakralgelenks laufen sicherlich auch häufig im Hüftgelenk der dazu seitengleichen Beckenseite ab. Durch eine ISG-Immobilität kommt es mehr oder weniger, wohl häufig nur im Minimalstbereich, zu einer nicht optimal achsengerechten Stellung der Hüftgelenkspfanne im Verhältnis zum Femurkopf in der Relation zu einem Hüftgelenk eines normal oder gar überbeweglichen Os coxae in dessen Bewegungsverhältnis zum Os sacrum und damit zu den gesamten über das Becken laufenden Bewegungen. Da die Ausweich- und Federbewegung des Os coxae im ISG bei dessen relativer oder absoluter Immobilität geringer ist als jene auf der Seite mit dem im Verhältnis dazu mobileren Iliosakralgelenk, ist dieses Hüftgelenk auch durch eine zu harte Widerlagerung und durch eine in der Wegstrecke bei den Hüftgelenksbewegungen längere Gleitstrecke des Femurkopfes gegen einen kleineren Pfannenabschnitt, der ja ansonsten bei einem seitengleich mobilen Iliosakralgelenk sich auch noch in einer längeren Strecke gegen- bzw. mitbewegt und somit die Last-Zeiteinheit pro Gelenkflächenabschnitt verringert, je nach Seitendifferenz des Mobilitäts- bzw. Immobilitätszustandes der Iliosakralgelenke höher belastet. Außerdem dürften die seitendifferenten unterschiedlichen nervalen afferenten Informationen eine Rolle bei der nutritiven Versorgung der spezifischen Gewebe des Bewegungssystems zumindest im direkten und auch benachbarten nervalen Versorgungsbereich der jeweiligen Iliosakralgelenke spielen. Dabei ist auch anzunehmen, dass die Beckenseite mit dem höheren Informationsinput - Beckenseite mit hypermobilem Iliosakralgelenk - auch insgesamt eine aktivere Stoffwechsellage aufweist als die mit dem peripher niedereren Informationsgehalt auf der Beckenseite mit dem relativ hypomobileren Iliosakralgelenk. Zudem dürfte sich im Verhältnis zur normalen Mobilitätsbalance beider Iliosakralgelenke wohl ebenfalls auf den Metabolismus und neurophysiologische Funktionen einflussnehmend das unterschiedliche piezoelektrische Reizpotential, resultierend aus den interossär seitendifferenten Kalziumsalzkristall-Kompressions- und -Entlastungsmomenten, auswirken. Interessanterweise lässt sich beobachten, dass eine Coxarthrose auch meist auf der Beckenseite, auf welcher sich ein Iliosakralgelenk in immobilerem Zustand im Vergleich zum kontralateralen befindet, entsteht oder entstand und kann so vom Beginn einer Hüftgelenksarthrose bis hin zu deren ausgeprägtem Stadium immer wieder beobachtet werden, wobei dies nur einer, nach Beachtung der erwähnten Funktionszustände, auffälligen Häufung entspricht und Abweichungen dazu natürlich ebenso befundbar sind.
Auch die Kompensationsüberbelastung eines hypermobilen Iliosakralgelenks ist eventuell als eine der Sekundärfolgen zu dem dazu kontralateralen hypomobilen Iliosakralgelenk anzusehen ­ wobei auch dies die Frage nicht klärt, ob sich die Hypomobilitätsfunktion eines Iliosakralgelenkes auf der Basis der gegenüberliegenden Iliosakralgelenkshypermobilität aufbaut oder ob die Hypermobilität in einem Iliosakralgelenk durch die zunehmende Hypomobilität des dazu kontralateralen Iliosakralgelenks entsteht (auch hier kommt sicherlich einmal die ,Henne vor dem Ei" und dann auch wieder das ,Ei vor der Henne").
Aus den vorgenannten mannigfachen möglichen Funktionsstörungen, die von einem immobilen Iliosakralgelenk verursacht sein können, lassen sich auch für den erfahrenen Physiotherapeuten die möglichen Schmerzsensationen und -projektionen, die daraus resultieren können, erkennen.

[zurück zum Inhaltsverzeichnis]

1.3.2.2 Schmerzsymptomatik eines Iliosakralgelenks mit Funktionsasymmetrie um die Transversalachse - hypermobiles Iliosakralgelenk

Das hypermobile Iliosakralgelenk ist im Gegensatz zum hypomobilen das wesentlich auffälligere. Es muss selbst keine Schmerzausstrahlung produzieren, ist jedoch sehr häufig durch die mit zunehmender Belastung auch zunehmenden Nozizeptorenreizung direkter Schmerzverursacher mit einem typischen Schmerzzentrum medial der Spina iliaca posterior superior-Pars superior durch den dort mehr gedehnten Bandapparat in Folge des größeren Bewegungsausmaßes des Os ilium gegen das Os sacrum in der Iliosakralgelenksachse wegen des längeren Hebels als jenem zwischen dessen Pars inferior und dem Kreuzbein, wobei hierhin bei ausgedehnteren Reizzuständen dann auch der Schmerz ausstrahlen kann, besonders dann, wenn es hypermobilitätsbedingt zu Gewebsrupturen mit Odem- oder Hämatombildungen kommt.
Der Schmerz kann aber, je nach Stärke der somatomotorisch hemmenden Nozizeptorenreize, sich von dort aus nach inferior bzw. distal ausdehnen, insbesondere im Verlauf der Mm. glutäus medius und minimus. Von da aus können die Schmerz- und Funktionsirritationen im faszikulären Übergangsbereich zum M. piriformis sich bis hin zum Trochanter major femoris ausdehnen.
Bei einer stärkeren nozizeptiv initialisierten muskulären Bewegungshemmung kommt noch die Kontraktur des M. tensor fasciae latae hinzu mit häufigen Insertionsirritationen an der Pars lateralis spina iliaca anterior superior und sogar Schmerzprojektionen in Teilen oder dem gesamten Verlauf des Tractus iliotibialis, die bis knapp proximal des lateralen Kniegelenkes verlaufen können.
Zudem kommt es dann meist auch noch durch den starken Zug des M. tensor fasciae latae mit einem verstärkten Kompressionsmoment nach medial und somit einer ebenfalls intensivierten a.-p.-Gleitkomponente am lateralen Trochanter major zu einer Bursitis in dessen Bereich an den Bursae trochanterica subfascialis, subcutanea et m. glutäi medii.
Zur oben beschriebenen Schmerzmechanik führt eine sich synergistisch in die muskulären Hemmreaktionen einfügende Verspannung des M. piriformis häufig noch zum pseudoradikuläre Typus eines Ischiaskompressionssyndroms, wenn der Druck dieses sich verkürzenden Muskels im Foramen ischiadicum majus den N. ischiadicus gegen den Arcus anterior foramen obturatorii drückt.
Außerdem kann die bereits erwähnte Hypermobilitätsfolge von Gewebsrupturen bei einer ausgeprägten Iliosakralgelenks-Immobilität durch die sich dabei bildenden Ödeme bzw. Hämatome im Bereich der Foramina intersakralia, also medial des betreffenden Iliosakralgelenks, eine S1-S4-Symptomatik mit den klassischen neurologisch bekannten Projektionen ergeben.
Bei entsprechender nozi(re)zeptoreninduzierter Muskelkontraktions- und Bewegungshemmreaktion fällt auch häufig eine dazu homolateral einseitige An- bzw. Verspannungsreaktion in der Gruppe des M. iliopsoas, besonders des M. iliacus auf, wodurch in der Lacuna musculorum die hier unter dem Lig. inguinale mit austretenden Äste des N. femoralis (Rr. cutanei anteriores med. et lat. n. femoralis, N. saphenus) komprimiert werden können ­ es kann dadurch zusätzlich zum Bild einer pseudoradikuläre L2-L4-Irritation kommen.
Außerdem kann durch eine ISG-Hypermobilität eine entsprechenden Zugbelastung am Lig. iliolumbale und am medial-inferioren Blatt der Fascia thoracolumbalis entstehen, wodurch eine lateraltrahierende Kraftkomponente mit lateraltranslatorischer Wirkung auf L5 und etwas auch auf L4 entsteht. Dadurch kann es zu zusätzlichen Problemen im lumbosakralen und unteren lumbalen Bereich kommen, sei es durch dort mit ausgelösten Instabilitäten, auf den Anulus fibrosus sich auswirkende Dehn- und Scherbelastungsmomente oder nur entsprechenden Gewebsreaktionen im dortigen Bereich der Foramina intervertebralia, ausgelöst durch die lateraltranslatorische und -flektorische Fehlbelastung. Auf jeden Fall kann sich ungünstigstenfalls daraus eine echte L4-/L5-/S1-Symptomatik entwickeln.
 

Abbildung 8
Schmerzprojektionen die von einem ligamentär hypermobilen Iliosakralgelenk ausgehen können.
ISG-Schmerzzentrum im Bereich der Sp. iliaca post. Sup.
häufigste primäre Schmerzausstrahlung vom ISG-Schmerzzentrum ausgehend in Richtung Troch. m. Fem.
mögliche fortgeleitete Schmerzausstrahlung von der primären Schmerzausstrahlung
Schmerzausstrahlung im ges. Verlauf des ISG-Gelenkspalts (weniger häufig)
Schmerz durch Mobilitätsüberbelastung im Bereich zwischen Sp. iliaca post. sup. und L4/L5 - Lig. iliolumbale/tiefe Schicht d. Fascia thoracolumbalis (weniger häufig)
 
 
 
 
 
 
 
 

 

 

[zurück zum Inhaltsverzeichnis]

1.3.3 Befund der Iliosakralgelenks-Funktionsasymmetrie um die Transversalachse

1.3.3.1 Iliosakralgelenks-Funktionsasymmetrie um die Transversalachse - Endraum eines immobilen Iliosakralgelenks - Befund manuell

Bei der Iliosakralgelenks-Anteversionsfehlstellung ist, wie bereits beschrieben, das gesamte Os coxae dieser Seite nach anterior rotiert im Verhältnis zum Os sacrum und dort ligamentär fixiert. Dabei befindet sich der betreffende Tuber ischiadicum posterior zu seiner Neutral-Null-Stellung und damit auch zum gegenüberliegenden, am liegenden Patienten unbelasteten, Sitzbeinhöcker.
Die Iliosakralgelenks-Retroversionsfehlstellung zeigt sich mit dem Os coxae der betreffenden Seite nach posterior rotiert zum Os sacrum, der betreffende Tuber ischiadicum befindet sich anterior seiner Normalstellung ­ und somit zum entlasteten kontralateralen Tuber ischiadicum.
Die Erhebung des Tastbefundes bezüglich einer Iliosakralgelenks-Funktionsasymmetrie um die Transversalachse und der dadurch möglichen Ermittlung des Endraums, in dem sich ein immobiles Iliosakralgelenk befindet, erfolgt mittels genau durchzuführender Palpation, deren Techniken gründlich bei den Kursen ,Dynamische Wirbelsäulen-Therapie" gelehrt werden. Es muss durch geeignete Tasttechnik sichergestellt und so getastet werden, dass möglichst viel Gewebe an den Sitzbeinhöckern weggedrängt wird und auch Myogelosen nicht zwischen den tastenden Fingern und den Tubern eine falsche Einschätzung von deren Anterior- oder Posteriorlage zueinander ergeben.
Der Endbewegungsraum, in dem sich ein immobiles Iliosakralgelenk befindet, kann also durch Beurteilung von Stellung bzw. Lage der Sitzbeinhöcker zueinander bestimmt werden, wenn die Beckenseite mit dem kontrakteren sacrococcygealen Bandapparat bekannt ist. Dabei wird an den jeweiligen beidseits möglichen gleichen Endpalpationsstellen die eventuelle Seitendifferenz bezüglich einer Abweichung des zu beachtenden Sitzbeinhöckers (= jener auf der Seite, auf der das Iliosakralgelenk als immobil befundet wurde <siehe 2.3>) zum gegenüberliegenden beurteilt, analog zu der Anfangs dieses Abschnittes gemachten Feststellung zur Lage des betreffenden Sitzbeinhöckers in der Gesamtbeckenlage und somit auch zu dessen beckenfunktionsstatischer Auswirkung auf das betreffende Hüftbein mit der Stellung des Hüftgelenks zur Kreuzbeinbasis.

[zurück zum Inhaltsverzeichnis]

1.3.3.2 Iliosakralgelenks-Funktionsasymmetrie um die Transversalachse - Endraum eines immobilen Iliosakralgelenks - Röntgenbefund

Ein Röntgenbefund zur Art der Iliosakralgelenks-Immobilität ist schwieriger zu erstellen als der palpatorische und funktionsanalytische am ligamentär immobilen Iliosakralgelenk.
Bei diesem Befund ist es von größter Wichtigkeit, dass der zu Untersuchende mit geringstmöglichem Beckenabstand und parallel mit seinem Kreuzbein während der a.-p.-Aufnahme an der Röntgenfilmebene steht mit beidseits extendierten Kniegelenken, die Medianebene des Körpers zwischen den Beinen zentrisch unter der Mitte des Röntgenfilms, die Füße am besten in einer Stehlehre fixiert, durch welche ein beidseits gleicher Beinabduktions- und -rotationswinkel gewährleistet ist.
Ist bei der Beurteilung eines solcherart aufgenommenen Röntgenbildes jene Seite durch Befundung bekannt, auf welcher sich das immobile Iliosakralgelenk befindet (Gelenksspaltenprojektion am Röntgenbild, Spannung der inferioren Beckenbänder beim Tastbefund), so wird der Abstand vom Processus articularis sup. ossis sacri zum seitengleichen Femurkopf mit dem Maß der selben Strecke der Gegenseite verglichen. Ist die Strecke auf der Beckenseite mit dem immobilen Iliosakralgelenk größer als jene auf der Gegenseite, so handelt es sich (vorausgesetzt der Patient stand bei der a.-p.-Aufnahme ebenengerecht vor der Röntgenfilmebene!) um eine Iliosakralgelenks-Immobilität mit ligamentär fixierter Endstellung in Anteversionsnutation des Os coxae zum Os sacrum.
Wenn jedoch diese Strecke auf der iliosakralgelenks-immobilen Beckenseite geringer ist als jene auf der Gegenseite, so handelt es sich - wieder vorausgesetzt der Patient stand bei der a.-p.-Aufnahme wie oben beschrieben - um eine Immobilität des betreffenden Iliosakralgelenks mit einem darin ligamentär fixierten Os coxae in der Endstellung in Retroversionsnutation in bezug zu dem der Gegenseite und zum Os sacrum.
Die Symphyse zeigt sich dabei auf der entsprechenden Seite, je nach der Stellung des lumbosakralen Winkels und somit der Kreuzbeinnutation zur Dorsalebene des Untersuchten, mit einem meist einseitig ,dicker" sich darstellenden, also insgesamt ,höheren" Os pubis mit einer dann einseitigen oberen oder unteren ,Kante" an der Symphyse auf der Seite der Iliosakralgelenksimmobilität in Retroversionsnutation im Vergleich zu dem der Gegenseite (selten zeigt sich dieses projektionsbedingt ,größer" [,höher"] sich darstellende ,Aufstellen" des Os pubis an der Symphyse sowohl superior wie auch inferior über das der Gegenseite hinausragend). Analog dazu stellt sich das Os pubis auf der Seite der Iliosakralgelenks-Immobilität im Anteversionsendraum niederer bzw. flacher dar.

[zurück zum Inhaltsverzeichnis]

1.3.4 Therapie einer Iliosakralgelenks-Funktionsasymmetrie um die Transversalachse

Dem Prinzip der Dynamischen Wirbelsäulen-Therapie folgend, den befundeten Ist-Zustand = pathologische Ausgangssituation - durch konträr dazu ansetzende Maßnahmen in den angestrebten Soll-Zustand = physiologischer Zustand bzw. Funktion - zu verändern, werden auch bei Iliosakralgelenks-Dysfunktionen in der transversalen Achse die Mobilisationen und Stabilisationen in ihrer Funktionsweise entgegengerichtet der Funktionseinschränkung des betreffenden Gelenks angewandt. Das gilt sowohl bei passiven wie auch bei den aktiven Maßnahmen streng befund-, richtungs- und achsenbezogen, woraus asymmetrische Mobilisationen und Übungen resultieren.
Alle Mobilisationsbewegungen erfolgen im Gegensatz zu einigen anderen manualtherapeutisch biomechanisch korrigierenden Behandlungsverfahren bei der Dynamischen Wirbelsäulen-Therapie langsam, nur im physiologischen Gelenksbewegungsraum, ohne zur Gegenstabilisierung eine Torsion oder Lateralflexion der Wirbelsäule zu nutzen und ohne ruckartige Manipulationen, um ansonsten dabei unvermeidbare und m. E. biomechanisch weitestgehend unphysiologische Belastungen zu vermeiden.
Bei der Iliosakralgelenks-Funktionsasymmetrie in fixierter Anteversionsnutationsstellung gegen das Os sacrum wird entgegen dieser befundeten ligamentär fixierten Stellung der Iliosakralgelenks-Bewegungseinschränkung zum einen über das entsprechende anterior fixierte superiore Os coxae (Spina iliaca anterior) gegen dessen distalen Anteil eine seitengleich ausgeführte Gegenaktion mit dem Ziel durchgeführt, eine Torsion des Os sacrum gegen das Os ilium in dessen kranialem Anteil nach posterior entgegen der betreffenden Iliosakralgelenks-Fixation zu erreichen. Das inferiore Becken wird dabei vom Behandler im Bereich des Tuber ischiadicum ebenfalls fixiert.
Dies erfolgt passiv als lockernde Vordehnung, aktiv-isometrisch durch eine seitengleich ausgeführte Hüftbeugeanspannung des Patienten gegen das homolateral inferior bzw. distal posterior sowie das superior anterior fixierte Os coxae mit der Folge der Torsionstendenz des dabei fixierten Os sacrum gegen das Os ilium in dessen kranialem Anteil nach anterior.
Die selbe Rotationseinwirkung auf das in beschriebenem Endbewegungsraum immobile Iliosakralgelenk wird auch als passive Maßnahme durch eine Bewegung im Bereich des Os ilium nach dorsal und am Os ischii nach anterior, wieder gegen das fixierte Kreuzbein, durch einen bimanuell gegenläufig ansetzenden Behandlungsgriff eingesetzt, jedoch bei umgekehrtem Fix- und Mobilpunkt.
Durch aktive Übungen, die anfangs täglich vom Patienten selbst durchgeführt werden und mittels denen die meist sehr manifesten Fehlhaltungs- und Fehlbewegungsmuster, da auch im Gesamtbewegungsmuster integriert, gegengerichtet mitbehandelt werden sollen, werden die auf die Beckenfunktion und -funktionsstatik einwirkenden (bzw. auch davon ausgehenden) Fehlbewegungen als Folge einer Gesamtfehlhaltung und/oder -fehlfunktion (bzw. deren Ursache) zu korrigieren versucht (treffender bezeichnet findet dadurch ein ,austrainieren" und ,verlernen" von Fehlmustern statt). Mit solch einer Neukonditionierung lässt sich meist ein langanhaltender und möglichst grundlegend ansetzender Therapieerfolg erreichen.
Die Iliosakralgelenks-Funktionsasymmetrie in fixierter Iliosakralgelenks-Retroversionsnutation wird ebenfalls entgegen dieser befundeten ligamentär fixierten Iliosakralgelenksstellung zum einen passiv therapiert, indem der inferiore Anteil des betreffenden Os coxae gegen dessen cranialen Anteil durch eine Schubbewegung nach posterior über den Patientenoberschenkel und damit das Hüftgelenk entgegen der Fehlstellungsrichtung gegen das stabilisierte Kreuzbein bewegt wird, wobei der Behandler im Bereich der dorsalen Crista iliaca das Os ilium fixiert.
Dieses Mobilisationsprinzip kommt, entsprechend konträr der beschriebenen Pathomechanik, in der Ausführung mit verschiedenen Techniken zur Anwendung. Zudem gelangen auch hier passive (Auto-)Mobilisationen und aktiv der Fehlstellung gegengerichtete Übungen, vom Patienten alltagsbegleitend durchgeführt, zur Anwendung. Daneben kann während den einzelnen Behandlungssitzungen generell eine spezielle Iontophoresebehandlung unter Zuhilfenahme lokal wirkender Anästhetika, Antiphlogistika und Enzymen, bei entsprechender Indikation auch in Verbindung mit kleinflächigen Eisapplikationen unter Wärmeumpackung, angewandt werden.
Ärztlicherseits hat sich begleitend dazu sehr gut die direkte Infiltration des entsprechenden hypermobilen Iliosakralgelenks mit Steroid-freien proteolytisch wirkenden Substanzen (derzeit leider nicht mehr im deutschen Handel) in Verbindung mit einem Lokalanästhetikum, eventuell zusammen mit einer therapeutischen Lokalanästhesie im Bereich des Ansatzes des M. piriformis, nach jeweils einer Behandlungssitzung mit der Dynamischen Wirbelsäulen-Therapie bewährt.

[zurück zum Inhaltsverzeichnis]

1.4 Iliosakralgelenks-Funktionsasymmetrien um deren Sagittalachsen

Es handelt es sich bei dieser Beckenfehlstellungsvariante offensichtlich um die parallelogrammartige Verschiebung der beiden Ossa coxae und des Os sacrum zueinander, in der Terminologie der Dynamischen Wirbelsäulen-Therapie "Parallele Medio-Lateralverschiebung" genannt.

[zurück zum Inhaltsverzeichnis]

1.4.1 Pathomechanik der Iliosakralgelenks-Funktionsasymmetrie um die Sagittalachsen - Parallele Medio-Lateralverschiebung

Bei dieser Art der Fehlstellung kommt es fixiert superior zum medialen, inferior zur lateralen Ausweichstellung jeweils eines Os coxae weg von der Medianebene, wobei das gegenüberliegende dann in die selbe Richtung abweicht, also kranial nach lateral und distal nach medial in bezug zu dessen Neutralstellung. Das Os sacrum bewegt sich parallel zu jener Ausweichrichtung etwas mit, wodurch sich eine leicht parallel zueinander verlaufende Verlagerung der drei großen Beckenknochen in die selbe Kipprichtung um deren Sagittalachsen in der Frontalebene ergibt.
Wohl hauptsächlich durch die einseitige Verspannung des M. iliacus-Pars intrapelvina (die Pars extrapelvina m. iliacus entspringt an der Lacuna musculorum und der Hüftgelenkskapsel) und der dadurch seitengleichen Oberschenkeladduktion, die beim Gehen und Stehen hinderlich sein würde, wodurch - ebenso wie durch sein bewegungsmotorisches Grundmuster - der Patient versucht, das Bein jener Seite beim Gebrauch in einer seiner Gesamtbewegung adäquaten Abduktionsstellung zur Medianebene zu halten bzw. zu bewegen (also möglichst parallel zum Bein der Gegenseite), kommt es zwangsläufig zu dieser Parallelverschiebung der drei großen Beckenknochen in der Frontalen, denn es muss sich dabei das Becken auf der Seite der Kontraktur dieses pelvikalen Anteils des M. iliopsoas insgesamt inferior etwas nach lateral bewegen. Da bei der Körperbelastung auf den Beinen das Becken auf dieser Seite, zusammen mit dem zugehörigen Bein, in seinem distalen Anteil nach lateral ausweichend mitgehen muss, ohne die Möglichkeit der gleichzeitigen Anhebung dieser Beckenseite beim Stehen und Gehen nach superior zu haben, ist die zwangsläufige Folge, dass das Os coxae auf dieser Seite - bei gleicher Höhenstellung der Hüftgelenke - zwangsläufig entgegen der Normalfunktion etwas nach lateral abweicht, was dann im Bereich des Os ischii und der Symphyse am deutlichsten sichtbar bzw. palpierbar ist.
Da das Iliosakralgelenk jedoch ligamentär stark gegen laterale Scherkräfte gehalten ist kommt es, außer eventuell nach starken traumatischen Einwirkungen, nicht zur inferior-distalen Lateraltraktion als Scherbewegung in einem Iliosakralgelenk, die mit einer entsprechend starken inferioren ISG-Gelenkspaltvergrößerung einhergehen würde. Demnach muss das Os sacrum, wie beschrieben, ebenfalls etwas um seine Sagittalachse parallel zum beschriebenem Os coxae diesem folgend mit seinem inferioren Anteil nach lateral von der Medianebene abweichen. Das dem primär betroffenen und bereits beschriebenen Os coxae gegenüberliegende folgt aus dem gleichen genannten Grund parallel zur Seitabweichbewegung den beiden erwähnten Beckenknochen, also dem Os sacrum und dem gegenüberliegendem Os coxae, in seinem inferioren Anteil in die selbe Richtung, auf dieser Seite also nach medial-lateral, und es entsteht dabei die, bei der Dynamischen Wirbelsäulen-Therapie so benannte, ,Parallele Medio-Lateralverschiebung".
 

Abbildung 9
Pathomechanisches Prinzip der Iliosakralgelenks-Funktionsasymmetrie um die Sagittalachsen.
Eine einseitige Kontraktur des M. iliacus führte zu einer Daueradduktion des seitengleichen Beines führen, würde der Patient nicht, unterstützt durch sein Körpergewicht, passiv mit der betreffenden inferioren Beckenseite nach lateral abweichen (Invertierung von Punctum fixum und Punctum mobile).
Da jedoch diese Beckenseite sowie das dazugehörige Bein in den Steh- und Gehbelastungen nicht nach kranial und die der Gegenseite nicht mit dessen Bein nach inferior bzw. distal in den Boden ausweichen kann, wird das gesamt Becken um die transversalen Achsen der beiden Iliosakralgelenke und des Kreuzbeins inferior zu der Seite „gedrückt” bzw. „geschoben”, auf welcher der kontrakte Beckenanteil des M. Iliopsoas sich befindet und die gesamte Beckenschaufel auf dieser Seite durch das Hebelverhältnis im Iliosakralgelenk etwas angehoben (das inferiore Becken verlagert sich medial des Hebeltotpunktes im Verhältnis dazu nach distal-inferior). Die gegenüberliegende Beckenschaufel sinkt dagegen im Stand etwas ab, da das inferiore Becken sich in Relation dazu medial des Hebeltotpunktes nach superior verlagert.

[zurück zum Inhaltsverzeichnis]

1.4.2 Funktionsasymmetrie um die Sagittalachsen der Iliosakralgelenke - Parallele Medio-Lateralverschiebung - Veränderung der Hüftgelenkspfannen in der Frontalebene zum Kreuzbein

Weniger als die beiden anderen beschriebenen Arten der Iliosakralgelenks-Fehlstellung kann diese parallelogrammartige Medial-Lateralverschiebung der drei großen Beckenknochen die Ursache für eine funktionelle ,Beinlängendifferenz" im bezug der Strecken der Kreubeinbasis zu den Hüftgelenken und damit zur Standfläche sein. Es wird die Strecke in der Frontalebene der Transversalachsen vom Promontorium und den Hüftgelenken, und damit wieder zur Standfläche am Fuß, im Vergleich zu den beiden beschriebenen Iliosakralgelenks-Nutationsfixierungen um die Transversalachse, bezogen auf ihre Neutral-Null-Stellung, nur minimal größer und somit also im Vergleich zur Normalbeckenstellung auf jener Seite länger, auf der eine Parallelverschiebung im inferioren Becken mit Verlagerung des Os ischii nach lateral besteht (wieder im Vergleich zur physiologischen Neutralstellung des gesamten Beckens). Das zum kontrakten M. iliacus homolaterale Hüftgelenk ist dabei etwas nach lateral-distal zu dessen Neutral-Null-Stellung in seiner Lage zum Os sacrum und zum gegenüberliegenden Os coxae verlagert. Damit ist das Bein dieser Seite, bezogen auf das Promontorium, funktionell über das Becken etwas ,länger" erscheinend im Vergleich zur Normalstellungssituation des Beckens. Auch dieser Umstand muss bei der Beurteilung einer Beckenfehlstellung im Bezug zu einer zu befundenden Beinlängensituation beachtet werden!

[zurück zum Inhaltsverzeichnis]

1.4.3 Schmerzsymptomatik bei der Funktionsasymmetrie der Iliosakralgelenke um deren Sagittalachsen

Beim Vorliegen dieser Fehlstellung gibt der Patient meist einen Schmerz im Bereich des kaudalen Iliosakralgelenksareales in Höhe der Spina iliaca posterior inferior bzw. im inferioren Anteil der Ligg. sacroiliaca post. et sacrospinale durch den dabei dort stark auftretenden Dehnreiz auf der Beckenseite an, die distal mit dem Os ischii und dem Tuber ischiadicum nach lateral von der Neutral-Null-Stellung abgewichen ist.
Zudem ist häufig die Region distal der Lacuna musculorum durch den Kontrakturzug des M. iliacus, ähnlich dem Primärschmerzbild des Patienten mit einer Coxarthrose (durch den dabei kontrakten Mm. psoas major et minor), schmerzhaft.

[zurück zum Inhaltsverzeichnis]

1.4.4 Befund einer Funktionsasymmetrie der Iliosakralgelenke um deren Sagittalachsen

1.4.4.1 Funktionsasymmetrie um die Sagittalachsen der Iliosakralgelenke - Parallele Medio-Lateralverschiebung - Befund manuell

Nach der Mobilisation eines im Endbewegungsraum um die Transversalachse rotiert-immobilen Iliosakralgelenkes fällt die Parallele Medio-Lateralverschiebung besonders gut beim Tastbefund auf. Da es bei dieser Beckenfehlstellung zum beschriebenen seitlichen Abweichen jeweils eines Os ischii nach lateral, also weg von der Medianlinie in Beziehung zur Neutral-Null-Stellung, und etwas nach inferior kommt, wobei das gegenüberliegende dann zusätzlich leicht nach superior und medial von seiner Neutralstellung abweicht, zeigt der Tastbefund hier den zu seiner Seite nach lateral von der Neutral-Null-Stellung und Mittellinie abgewichenen Tuber ischiadicum als den scheinbar mehr nach inferior-distal aus den Glutäen ,herausstehenden", da dieser lateral zum gegenüberliegenden Os ischii besser im seitlichen Anteil der Glutäalmuskulatur tastbar und etwas inferior zu diesem befindlich ist.
Der Sitzbeinhöcker der Gegenseite liegt in bezug dazu mehr medial, leicht superior und somit etwas weniger nach distal erhaben tastbar in den Glutäen.

[zurück zum Inhaltsverzeichnis]

1.4.4.2 Funktionsasymmetrie um die Sagittalachsen der Iliosakralgelenke - parallele Medio-Lateralverschiebung - Röntgenbefund

Im Röntgenbefund zeigt sich analog zu ihrer Pathomechanik die reine Parallele Medio-Lateralverschiebung bei der a.-p.-Aufnahme als eine beidseits gleich hohe Symphysenverschiebung, d. h. dass die Ober- und Unterkanten der Ossa pubis gleich weit nach kranial und kaudal gegeneinander verschoben sind, was häufig als Symphysenverschiebung oder einseitiger Symphysenhochstand befundet wird.

[zurück zum Inhaltsverzeichnis]

1.4.5 Therapie einer Funktionsasymmetrie um die Sagittalachsen der Iliosakralgelenke - parallele Medio-Lateralverschiebung

Die Maßnahmen der Dynamischen Wirbelsäulen-Therapie gegen diese Art der Beckenfehlstellung erstreckt sich auf der Inferior-Seite der Parallelen Medio-Lateralverschiebung zum einen auf die spezifische Dehnung der posterioren Bänder im Bereich des Iliosakralgelenks in der Bewegungsachse von dessen superior-anteriorem Anteil zum ebenfalls superior-anterioren Symphysenrand, also grob betrachtet in der Longitudino-Sagittalachse. Dabei kommt es primär am gedehnten Iliosakralgelenk zu einer dorsalen Dehn- und Öffnungsbewegung, die palpierbar ist zwischen der Crista iliaca post. sup. und der Dorsalfläche des Os sacrums als von medial nach lateral ablaufende Bewegung im so gedehnten Iliosakralgelenk.
Außerdem wird eine Psoasgruppen-Teildehnung mit manuell-reflektorischer Relaxierung des M. psoas major und minor in Anlehnung an die Art manueller Muskeldehntechniken von MARNITZ †, zuerst am cranialen, dann an dem medialen Anteil des jeweiligen M. psoas major/minor, ausgeübt mit daran anschließender resistiv-exzentrischer Dehnanspannungung des M. piriformis als muskeldynamische Variante der von HELMRICH sen. † entwickelten passiven Piriformisdehnung in Verbindung mit einem Kältereiz durch kurze aber kräftige Eismassage im Bereich des Piriformisansatzes über den M. tensor fasciae latae am Tuber ischiadicum majus um, wie es sich gezeigt hat, eine rasche reaktive Neuverspannung der Psoasgruppe zu verhindern.
Als Maßnahme seitens des Patienten führt dieser eine phasische Femurinnenrotation mit passiver geführter Hüftadduktion in angepassten verschiedenen Techniken im Rahmen seiner täglichen Übungsbehandlungen durch.

[zurück zum Inhaltsverzeichnis]

Literatur:

1 ILLI Die Wirbelsäule, ihre Mechanik, Statik, Dynamik, ihre funktionelle Bedeutung für die Fortbewegung und ihre Behandlung, Genf, 1952
2 CRAMER Iliosakralmechanik, Asklepios, 1965
3 LEWIT Manuelle Medizin, München, 1984
4 WINKEL Nichtoperative Orthopädie, Stuttgart, 1992
5 KAPANDJI Anatomie der Gelenke, Stuttgart, 1992
6 MENELL Vol. II. the spinal collumn, London, 1952
7 MARNITZ Schlüsselzonenmassage, Heidelberg
8 HELMRICH, H. E. Passive Entspannung, Heidelberg, 1975

© 1982 - 1998 by Friedrich Ch. Horn
 



 
 

Als künftiger Kursteilnehmer sehen Sie bitte zusätzlich noch unter der Rubrik
Allgemeine Informationen zur Dynamischen Wirbelsäulen-Therapie
nach

wie auch unter
Kursinformationen zur Dynamischen Wirbelsäulen-Therapie

sowie bei
Kursinformationen zur Manuellen Extremitätengelenksmobilisation ad Modum Horn® - MEMH
 

!!!  Informationen zum Ort der Praxis und des Fortbildungsinstitutes  !!!
!!!                     für Dynamische Wirbelsäulen-Therapie                               !!!
 

Zurück zur Bereichseite
 

Zurück zur Startseite

Kontakt zu uns

© Urheber- und Autorenrechte national und international für Texte und Abbildungen by
Friedrich Ch. Horn, D-87672 Roßhaupten